Вече свикнахме да чуваме за добрите бактерии, които живеят в нас. Чревният микробиом оказва силно влияние върху здравето ни, показват множество съвременни изследвания. Но какво става, ако същите тези бактерии попаднат в нашия мозък?
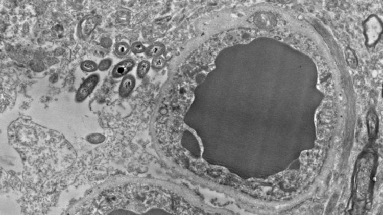
Изображение на микроскоп с висока разделителна способност, представено тази седмица на ежегодната среща на Дружеството за невронни науки, показва бактерии, които очевидно проникват и обитават клетките на здрав човешки мозък. Работата е предварителна, а авторите внимателно отбелязват, че тъканните проби са взети от трупове и биха могли да са заразени. Много от посетителите в изложбената зала, където е показан самият постер, са са развълнувани от възможността бактериите да влияят директно върху процесите в мозъка, включително може би и да причиняват на неврологични заболявания.
"Това е хит на седмицата", казва неврологът Роналд Макгрегър от Калифорнийския университет в Лос Анджелис, който не е участвал в работата. "Това е като една съвсем нова молекулярна фабрика (в мозъка) със свои собствени нужди. ... Това е умопомрачително Science.
Мозъкът е защитен от съдържанието на кръвта от мрежа от клетки, които обграждат кръвоносните съдове. Бактериите и вирусите, които успеят да проникнат през тази кръвно-мозъчна бариера, могат да причинят смътроносно възпаление. Някои проучвания предполагат, че микроби, които живеят в червата, могат да повлияят на настроението и поведението и дори на риска от неврологични заболявания, но с косвени средства. Например, нарушаването на баланса на чревния микробиом може да увеличи производството на протеин, който може да причини болест на Паркинсон, ако достигне до нерв, свързващ червата с мозъка.
 
										 
									 
			 
							
								 
								 
								 
								 
								 
								 
								 
						 
											 
															 
                 
					 
  