Учените успешно са излекували ингвиналната херния при мишки с помощта на медикаменти, предлагайки надежда за нехирургично лечение при хора.
Ингвиналните хернии засягат милиони мъже, като половината от тях има вероятност да развият заболяването до 75-годишна възраст. Тези хернии се появяват, когато меките тъкани изпъкват през слабите коремни мускули в слабините. Въпреки тяхното разпространение, биологичните механизми зад тях остават до голяма степен неизвестни.
Лечението досега се основава на хирургия, която е свързана с усложнения, особено при по-възрастните хора. Дори след хирургична интервенция хернията се връща в 10-15% от случаите, което подчертава необходимостта от алтернативно лечение.
Неотдавнашно откритие на Northwestern Medicine - здравна система, свързана с Медицинския факултет на Северозападния университет в Чикаго, оспорва идеята, че операцията е единствената възможност. Изследователи успешно обръщат развитието на хернията при мъжки мишки с помощта на медикаменти, давайки надежда за нехирургично лечение при хора.
Тяхното проучване, публикувано в Journal of Clinical Investigation, идентифицира и ключов молекулярен фактор: естрогенен рецептор-алфа (ESR1). Изглежда, че този рецептор стимулира прекомерното натрупване на съединителната тъкан, което е отговорно за образуването на херния. Важно е, че тъканта на човешката херния показва същите молекулярни маркери като при моделни животни мишки, което предполага, че мъжете могат да реагират на лечението по същия начин.

Схема на кратко 7-дневно проучване за лечение с фулвестрант (вляво) и измерване на скротални хернии (вдясно); фулвестрант се прилага след образуване на тежки и големи хернии в продължение на 7 дни.Схема на кратко 7-дневно проучване за лечение с фулвестрант (вляво) и измерване на скротални хернии (вдясно); фулвестрант се прилага след образуване на тежки и големи хернии в продължение на 7 дни. Кредит: Clinical Investigation
Изучаване на биологията на хернията
Ингвиналните хернии произтичат от мускулна слабост в долната част на корема, но точните биологични причини остават неясни. За да разследват, изследователите са използвали генетично модифицирани моделни мишки, наречени Aromhum 11.
Тези мишки експресират гена на човешката ароматаза, имитирайки начина, по който тестостеронът се превръща в естроген при застаряващи мъже. Това увеличение на естрогена предизвиква промени във фибробластите на скелетните мускули - клетки на съединителната тъкан - което води до фиброза и развитие на херния.
Узследователите използват метода RNA-seq (Single-cell RNA sequencing - едноклетъчно РНК секвениране) - геномен подход за откриване и количествен анализ на информационни РНК молекули в биологична проба. RNA-seq разкрива отчетлив клъстер от фибробласти в отслабения мускул, определени като фибробласти, свързани с херния (HAF - hernia-associated fibroblasts).
Тези клетки показват висока експресия на ESR1 и показват характеристики на патологични фибробласти, включително прекомерна пролиферация и ремоделиране на извънклетъчния матрикс - мрежа от протеини и други молекули, които обграждат, поддържат и дават структура на клетките и тъканите в тялото.
HAF също така експресират маркери на фибро-адипогенни предшественици (FAP - fibro-adipogenic progenitors), вид стволови клетки, живеещи в мускулите, участващи в възстановяването на тъканите. Когато са нерегулирани, FAP допринасят за прекомерна фиброзна тъкан, подобна на това, което се случва при заболявания като мускулна дистрофия.
При Aromhum мишки, активирането на ESR1 във фибробластите изглежда е основен двигател на образуването на херния. Това предполага, че блокирането на ESR1 може да предотврати или дори да обърне състоянието.
Основан на медикаменти подход за възстановяване на херния
Изследователският екип тества тази хипотеза, използвайки лекарството фулвестрант, блокер на естрогенни рецептори, който вече е одобрен за лечение на някои видове рак на гърдата. Проучването включваше две експериментални групи - едната използва моделни мишки, а другата изследва човешка тъкан от хора с хернияа.

Схема на дизайна на проучването за лечение с ралоксифен (вляво) и измерване на скротални хернии (вдясно); ралоксифен се прилага след образуване на големи хернии.Схема на дизайна на проучването за лечение с ралоксифен (вляво) и измерване на скротални хернии (вдясно); ралоксифен се прилага след образуване на големи хернии. Кредит: Clinical Investigation
В експеримента с мишки учените инжектират фулвестрант, за да блокират активността на ESR1. Резултатите са поразителни. Големите хернии се свиват и мускулната структура се връща в здраво състояние. Това демонстрира, че насочването към ESR1 може не само да предотврати, но и да излекува хернията.
За да потвърдят тези открития при хора, изследователите правята биопсия на тъканни проби от пациенти с херния, сравнявайки засегнатите области със съседните здрави мускули. Те откриват идентични молекулярни маркери, потвърждаващи, че ESR1-задвижваната фиброза играе ключова роля както при мишки, така и при хора.
Допълнителен анализ показва, че естрогенът и ESR1 активират генни мрежи, свързани с прекомерна фиброзна тъкан - предоставяйки пряко доказателство, че естрогенното сигнализиране допринася за развитието на херния.

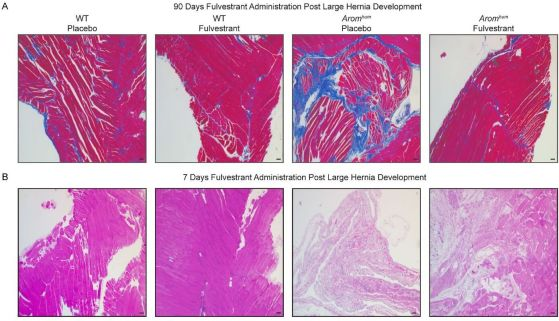
Представителни изображения на LAM на мишки след (A) 90-дневно лечение с фулвестрант от Фигура 2B и (B) 7-дневно лечение с фулвестрант.Представителни изображения на LAM на мишки след (A) 90-дневно лечение с фулвестрант от Фигура 2B и (B) 7-дневно лечение с фулвестрант. Кредит: Clinical Investigation
Последици за нехирургично лечение
Последствията от това откритие могат да бъдат значителни, особено за по-възрастни пациенти или такива с висок хирургичен риск. Всяка година в САЩ се извършват повече от един милион операции на ингвинална херния, много от които под обща анестезия. Хирургията обаче не засяга прблема с основната мускулна слабост, което може да обясни високата честота на рецидиви при възрастните мъже.
Това е революционна публикация за първото медицинско лечение на ингвинална херния според авторите.
„Нашите открития категорично показват, че мъжете също биха реагирали на това лекарство, както се случи с мъжките мишки, така че ако пациентите от мъжки пол са с висок риск от операция, можем един ден да се опитаме да поправим хернията по медикаментозен начин."
Въпреки че ингвиналните хернии са по-рядко срещани при жените - засягат една жена на всеки 34 мъже - те все пак могат да бъдат проблем. В тежки случаи хернията може да доведе до животозастрашаващи усложнения като чревна непроходимост. Една медицинска терапия може да предотврати тези резултати, като подобри грижата за пациентите и намали необходимостта от инвазивни процедури.

Геномен преглед на E2/ESR1 сигнализиране във фибробласти, свързани с херния, чрез ESR1 ChIP-seq анализГеномен преглед на E2/ESR1 сигнализиране във фибробласти, свързани с херния, чрез ESR1 ChIP-seq анализ. Кредит: Clinical Investigation
Бъдещето на изследването на хернията
Въпреки че фулвестрантът се оказа ефективен при мишки, ще са необходими клинични изпитвания, за да се определи неговата безопасност и ефикасност при хора. Изследователите също така планират да проучат други лекарства, които са насочени към ESR1, потенциално разработвайки по-специализирани терапии за превенция и лечение на херния.
Откриването на ролята на ESR1 при образуването на херния бележи голяма стъпка напред в разбирането на това често срещано, но слабо разбрано състояние. Чрез изместване на фокуса от хирургически операции към биологична интервенция, учените могат да проправят пътя за нова ера в лечението на хернията – такава, която може да елиминира необходимостта от инвазивни процедури и да подобри резултатите за милиони пациенти по света.
Справка: Estrogen receptor alpha ablation reverses muscle fibrosis and inguinal hernias; Tanvi Potluri, … , Hong Zhao, Serdar E. Bulun; Published February 4, 2025; J Clin Invest.2025.https://doi.org/10.1172/JCI179137;https://dm5migu4zj3pb.cloudfront.net/manuscripts/179000/179137/cache/179137.1-20250131154913-covered-e0fd13ba177f913fd3156f593ead4cfd.pdf
Източник: Breakthrough drug reverses groin hernias without surgery, Тhe Brighter Side