Природата е способна да създава някои наистина откачени неща, така че не би трябвало да се изненадваме от факта, че много от нас са инфектирани с паразит, който тихо е превзел мозъка ни и вероятно повлиява на поведението ни, като например как шофираме, дали харесваме миризмата на котешка урина, колко сме социални и дори самите ни възгледи за света. Това изглежда доста откачено?! Ако беше вярно, определено щяхме да знаем, нали? Ами НЕ - това е слабо известен факт, с който смятаме да ви запознаем сега.
Всичко, което знаем в момента за тази странна теория, е благодарение най-вече на работата на Ярослав Флегр (Jaroslav Flegr), чешки учен, който е вдъхновил написването на изключителна статия в Atlantic от журналистката Катлийн МакАулиф (Kathleen McAuliffe). Въз основа на многогодишните си изследвания Флегр смята, че е бил контролиран от едноклетъчен паразит, наречен Toxoplasma gondii. И когато използва думата „контролиран“, той има предвид контрол над съзнанието, тъй като малкият организъм е обитавал мозъка му, карайки го да прави странни и опасни неща. След като това се е случило с него, той смята, че може би се случва с още много хора. Ако това ви звучи странно, не се притеснявайте - наистина е странно. Но само защото нещо звучи откачено, не означава, че то не е вярно. Въпреки че работа му е на границата на науката от години, напоследък Флегр е започнал да трупа все повече последователи, а изследвания му са били потвърдени от множество други известни учени. С други думи, той определено е попаднал на нещо.
А какво точно е токсоплазмата (T. gondii)? Това е протозоен паразит, чиито жизнен цикъл започва в котешките изпражнения, където неговите яйца (известни като ооцисти) изчакват да бъдат погълнати от някои от гостоприемниците си, например плъхове. След като проникнат в червата на междинния си гостоприемник, ооцистите се преобразуват в тахизоити, незначителните малки мехурчета, които могат да причинят същинските поражения. Може би познавате T. gondii най-вече като причинител на заболяването токсоплазмоза. От това заболяване трябва да се пазят бременните жени и затова се препоръчва те да не чистят котешката тоалетна и изобщо да не се доближават до нея. Ако се разболеят, заболяването може да се предаде на бебето им и да предизвика мозъчни увреждания и дори смърт. Заболяването може да порази и хора с компрометирана имунна система и да предизвика деменция, но здравите хора обикновено го прекарват като лека форма на грип, след което се смята, че токсоплазмата преминава е инертно състояние, образувайки цисти в различни части от тялото, включително в мозъка ни, където остават скрити за десетилетия без да проявяват особена активност. Е, може да се окаже, че това състояние никак не е инертно.

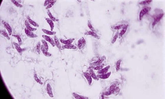
Микроскопски препарат с тахизоити на Toxoplasma gondii от перитонеум на инфектирана мишка оцветени с Гимза (увеличение 100 пъти). Снимка: KHALID F. TABBARA
Основната цел на токсоплазмата, е да се разпространи сред котките - тъй като това е единственият гостоприемник, в който може да се размножава (т.нар. в паразитологията „краен гостоприемник“). И така, този паразит попада в котешките изпражнения и след това достига до различни други животни, като според Флегр, на този етап той започва да контролира тяхното поведение, за да ги принуди да влязат отново в контакт с котки. Хората се заразяват с паразита от котешките тоалетни или чрез замърсена питейна вода, неизмити зеленчуци или недопечено месо.
Инфекцията с T.gondii е изключително често срещана, като някои учени изчисляват, че около 30% от хората на Земята - повече от 2 милиарда от нас - в момента може да пренасят малките тахизоити на T. gondii в мозъците си. Честотата на инфекцията варира значително между отделните държави. Докато само 7% от британците пренасят вируса, до 67% от бразилците са инфектирани. Предвид факта, че паразитът засяга поведението, инфекция от такъв мащаб може да доведе до значими разлики в народопсихолоята и цялостното поведение на различните националности.
Степента, с която инфекцията може да влияе на хората всъщност е изумителна, но нека първо ви разкажа как действа тя на плъхове. Трябва да отбележим, че нормалните плъхове се ужасяват от котешка урина. Никой не може да ги вини за това - все пак котките са древният им архивраг. Но инфектираните с T. gondii плъхове започват да се възбуждат сексуално от миризмата на котешката урина и тя започва да ги привлича. Те също така стават много по-активни от неинфектираните плъхове, което ги прави по-атрактивни мишени за лов от страна на котките. Освен това, те не се плашат от котки и директно скачат в лапите им. Иначе казано, те са идеалната храна за всяко гладно котенце.
Въпреки че паразитът инфектира хората инцидентно - тъй като ние не представляваме директен път обратно до котката (все пак котките рядко ядат хора) - това не значи, че няма ефект върху нас. Едно от големите открития на Флегр е, че инфекцията забавя скоростта на реакция при хората, което има негативен ефект върху способността им да шофират. Той открил, че хора, носители на паразита, е 2,5 пъти по-вероятно да участват в катастрофи в сравнение с клинично здрави индивиди. Това може да означава, според Флегр, че токсоплазмата може да предизвиква „няколко стотин хиляди смъртни случаи от пътни произшествия годишно."

Жизнен цикъл на T. gondii: котките отделят яйца (ооцисти), които могат да инфектират различни животни (дребни гризачи и птици) или да контаминират хранителни продукти (зеленчуци и месо). В червено е нормалния затоврен цикъл на паразита. В синьо е означен нехарактерния път на паразита с междинен гостоприемник човек или селскостопански животни. Снимка: Helieh S. Oz
Котешкият паразит също така се заиграва с нашите емоции и Флегр е открил, че той причинява много полово-специфични ефекти върху личността ни. Носителите на паразита показват трайни промени в личността, които са малки, но статистически значими. В сравнение с неинфектираните мъже, тези които имали токсоплазма били по-малко интелигентни, по-интровертни, параноични, не приемали мнението на другите хора, били по-малко харесвани от жени и имали склонност да не зачитат правилата. Инфектираните жени, от друга страна, демонстрирали напълно противоположното: те били по-социални, доверчиви, по-склонни да влизат в случайни сексуални връзки, с по-ясна представа за себе си, били по-желани от мъжете и зачитали повече правилата, в сравнение с неинфектираните жени. Един от белезите, които се споделят и от двата пола е повишения невротизъм - инфектираните са по-подвластни на чувство за вина, съмнения и несигурност.
Странно, нали? Освен това инфектираните мъже си падали по миризмата на котешка урина, точно както и заразените плъхове. Инфектираните жени, поради неизвестна причина, намирали миризмата на котешка урина много по-отблъскваща, отколкото неинфектираните жени.
Връзка с шизофренията. Допаминова теория
Един от най-сериозните и ужасяващи възможни ефекти на токсоплазмата е шизофренията. Много шизофреници показват дегенерация на мозъчната кора. Флегр и неговите колеги направили изследване на 44 пациенти с шизофрения - магнитен резонанс на мозъка (MRI), и при 12 от тях се наблюдавало подобно понижаване в размера на кората. Оказало се, че почти всички такива пациенти били инфектирани с токсоплазма.
Освен това било установено, че по-сериозно инфектираните с токсоплазма жени, раждат деца много по-силно предразполжени към развитие на шизофрения.
МакАулиф разговаряла и с психиатър на име Тоури (E. Fuller Torrey), който твърди, че въпреки популярните твърдения, че шизофрения винаги е имало, в случая става дума за нещо различно. Всъщност честотата на шизофренията не се е повишавала до края на 18-ти век, когато за пръв път хора от Париж и Лондон започнали да отглеждат котки като домашни любимци. Така наречената котешка мания започнала сред поети и хора с леви убеждения, но бързо се разпространила към края на 19-ти, началото на 20-ти век и това съвпада идеално с рязко повишаване в броя на случаите на шизофрения в световен мащаб.

Абцес в човешки мозък причинен от циста на Toxoplasma gondii, с характерна форма на пръстеновидна лезия при образна диагностика (компютърна томография). Снимка: library.med.utah.edu
Трудно бихме повярвали, че едно от най-честите умствени заболявания може да се предизвиква от някакъв паразит. И ако това не ви стига, има някои изследвания, които показват връзка между инфекцията с токсоплазма и по-високия риск за самоубийство, без предварителни прояви на психично заболяване. Държавите с по-високо ниво на инфекция с токсоплазма имали по-високо ниво на такива самоубийства. Просто страхотно!
Научната група на Джоан Уебстър от Imperial College, Лондон са основателите на теорията, че тези ефекти на цистите на токсоплазма в мозъка ни се дължат на повишаване на нивата на ензим, наречен тирозин хидроксилаза. Това е основата на т.нар. допаминова хипотеза, поддържана от много учени в тази научна сфера.
Тирозин хидроксилазата нормално участва в продукцията на невротрансмитера допамин. По-голямото количество ензим означава повече допамин. Това води до промяна в поведението на мишки, а Уебстър смята, че същото може да се екстраполира и за хора. Това обяснение означава, че инфекцията с токсоплазма повишава нивата на допамин в мозъка ни.
За да се изясни въпросът, Уебстър потърсила помощта на паразитолога Глен МакКонки, чийто екип от Университeтa на Лийдс, Великобритания, изследвал генома на малкия протозоен паразит. Този подход разкрил изумителен талант на паразита - той имал два гена, които му позволявали да повишава производството на допамин в мозъка на гостоприемника. „Никога не спираме да се изненадваме от сложността на тези паразити," споделя Уебстър.
Техните открития, докладвани преди няколко години, мигновено предизвикали голям интерес. Допаминът е изключително важна сигнална молекула в мозъка, участваща в проявите страх, удоволствие и внимание/мотивация. Освен това, от доста време е известно, че нивата на невротрансмитера са повишени при хора с шизофрения - поредната връзка на паразита с психологичното заболяване, освен деградацията на сиво мозъчно вещество в кората на мозъка. Някои от антипсихотиците, които са разработени да контролират шизофреничните делюзии, работят като блокират действието на допамина, което подсказало на Уебстър, че това, което всъщност правят, може би е да блокират действието на паразита. Учените показали, че добавянето на такъв медикамент към петри с активно делящи се T. gondii значително понижило растежа на паразита. Затова Уебстър решила да даде този антипсихотик на инфектирани плъхове и да види как ще реагират. За изумление на учените, те не развили фатално привличане към котки. Изведнъж отнасянето на определени промени в поведението към жизнената дейност на паразита започнало да става все по-убедително.
Когато резултатите на британския екип достигнали до научната общност, от лабораторията на Робърт Саполски (Robert Sapolsky) обявили още по-интересни новини. Неврофизиологът и неговите колеги открили, че T. gondii прекъсва каскадата на страха в мозъка, което може да обясни защо инфектираните плъхове губят своя страх от миризмата на котки. Саполски докладва също, че едновременно с това паразитът успява да повлияе част от системата, отговорна за сексуалната възбуда при мъжките плъхове - вероятно, според него, като повишава нивата на допамин в центровете за възнаграждение в мозъка. Така че, когато животното усети миризма на котка, центърът на страха не успява да се активира напълно, както би се случило при нормален плъх, а вместо това се активира зоната, отговорна за удоволствието при секс. „С други думи," твърди той, „токсоплазмата прави миризмата на котка да изглежда секси за мъжките плъхове."
Невробиологът Аджай Виас (Ajai Vyas), който работил като постдок върху това изследване в лабораторията на Саполски, решил да провери тестисите на плъховете за наличие на цисти на токсоплазма. Скоро той ги намерил точно там - както и в семенната течност на животните. Виас открил, че когато плъхът копулирал, токсоплазмата се прехвърляла в матката на женската, като обикновено заразявал около 60% от бъдещото поколение, преди да да се разположи и в мозъка на женския плъх. По този начин паразитът създава още повече вектори за разпространението си до котки.
Дали T. gondii може да функционира като полово-предавано заболяване и при хора? „Тъкмо това се опитваме да разберем," твърди Виас, който сега работи в Nanyang Technological University в Сингапур. Учените са установили, че инфектираните мъжки плъхове изведнъж стават много по-привлекателни за женските. „Ефектът е много ясно изразен," разказва Виас. „75% от женските предпочитат да прекарват времето си край инфектиран мъжки."
Не всичко е толкова зле, колкото звучи. Превенция.
В крайна сметка освен предизвиканата паника, с какво ни е полезна тази информация? Просто да си стоим, докато токсоплазмата не ни продиктува да се хвърлим от някоя сграда? Е, не точно, но в крайна сметка за инфекцията няма лечение. Веднъж заселила се в мозъка ни, токсоплазмата не може да се повлияе от антибиотици. Има известна надежда, че медикамент срещу малария може да има ефект, но засега данните за това са оскъдни и той не се прилага за лечение. Засега трябва просто да го изтърпим.

Бременните жени не бива да почистват котешката тоалетна за да се предотврати риска от инфекция с токсоплазма, която може да зарази плода им, да причини умствени нарушения и дори смърт.
Колкото и абсурдно да звучи на фона на вече казаното до тук, повечето учени ни уверяват, че няма причина за паника. Саполски, който е участвал при някои от изследванията на Флегр казва: „Не съм прекалено притеснен, тъй като ефектите при хора не са толкова силно изразени." Той също така смята, че много други паразити, за които дори не сме чували, влияят на нас и на други животни по различни начини, което според него, трябва да е успокояващо.
Джоан Уебстър споделя своето мнение по въпроса:
Не искам да предизвиквам паника. При повечето хора, това няма да има никакви ефекти, а тези, които са повлияни, ще имат по-скоро леки промени в поведението. Но в малък брой случаи, инфекцията с токсоплазма може да е свързана с шизофрения и други разстройства, свързани с промяна в нивата на допамин - например обсесивно-компулсивното разстройство, недостиг на внимание/свръхактивност и разстройства в настроенията. Плъхът живее само една или две години, докато хората можем да сме инфектирани в продължение на десетилетия, на което може да се дължат наблюдаваните сериозни странични ефекти при нас. Трябва да сме внимателни и да не подценяваме толкова широко разпространен паразит.
Най-доброто, което може да се направи, е изобщо да не се заразяваме с токсоплазма. За радост на повечето силно привързани към пухестите животинки хора, не се налага да се разделяте с котката си. Повечето котки, които живеят на затворено, нямат паразита, а живеещите на открито котки го отделят само за 3 седмици през целия си живот (обикновено когато са много млади и тъкмо са започнали да ловуват сами). През този период, няма да е зле да страните от животните и да поддържате кухнята си особено чиста.
Много важно е винаги да измивате добре плодовете и зеленчуците, да пиете вода от гарантиран източник и да ядете месото добре сготвено. Сега вече можете да се разхождате из света, вярвайки че сте независими и функционирате само според взетите съзнателно от вас решения и че не сте контролирани от някакви си миатюрни паразитчета в мозъка.
Освен ако сте... но в този случай едва ли си давате сметка...
Източници: Atlantic1; Atlantic2, Scientific American