Трима души са умрели при мистериозни обстоятелства, след употребата на електронни цигари

Трима души са умрели при мистериозни обстоятелства, след употребата на Vape, като случаите растат

Федералните служби обявиха днес, че над 450 души в 33 щата и в Вирджинските острови на САЩ са се сблъскали със смъртоносна болест на белите дробове, която е свързана с употребата на електронни цигари. Това удвоява общия брой на съобщените случаи в страната – миналата седмица цифрата възлизаше на 215 възможни случая в 25 щата.

Длъжностните лица на Индиана също съобщиха днес, че техен жител е починал от болестта, като общия брой смъртни случаи за района от същата белодробна болест за сега са само три. Мистериозното заболяване е обект на едно от двете течащи към момента публично – здравни изследвания, свързани с електронните цигари, рисковете и вредите от тях. Освен че се опитва да открие причината за белодробните заболявания, Администрацията по храните и лекарствата събира и доклади за възможни припадъци, свързани с употребата на електронни цигари.

„Ние сме решени да разнищим какво разболява хората. Цялата налична информация се анализира внимателно и тези първоначални констатации ни помагат да стесним фокуса на нашето разследване, и да ни доближат до отговорите“, казва в изявление Робърт Редфийлд, директор на Центровете за контрол и превенция на заболяванията.

Точната причина за заболяването остава неизвестна, но разследващите смятат, че тя вероятно е свързана с химическо интоксикиране, а не с инфекциозен агент. Министерството на здравеопазването в Ню Йорк обяви вчера, че химикал, наречен ацетат витамин Е, се е превърнал в „ключов фокус“ на тяхното разследване и е бил открит в „почти всички проби, съдържащи канабис“, които държавата е изследвала.

Разследването обаче далеч още не е приключило и витамин Е ацетат е един от няколкото възможни заподозрени, които властите проучват, докато се опитват да намерят причината за това белодробно заболяване.

„Нашата лаборатория работи в тясно сътрудничество с нашите федерални и държавни партньори, за да идентифицира продуктите или веществата, които могат да причинят въпросните заболявания, и към момента сме получили повече от 120 проби от щатите. FDA ги анализира и сравнения с широк спектър от химикали, но нито едно от веществата, включително и витамин Е ацетат, не е идентифицирано във всички тествани проби, за това към момента все още не можем да направим категорична корелация. Съществен момент е, че дори да идентифицираме един и същи химикал или химично съединение във всички изследвани проби, това ще бъде само част от пъзела, като не можем категорично да обвиним идентифицираната субстанция като причинител на мистериозните белодробни заболявания, които сериозно затруднява работата ни“, казва в изявление комисарят на FDA Нед Шарплес.

Междувременно здравните експерти призовават хората да не използват електронни цигари. Поне не и докато не излязат окончателните резултати от изследването.

„Докато трае разследването, хората трябва да обмислят да не използват VAPE електронните цигари“, каза на брифинг Дейна Мийни – Делман, ръководител на разследването на CDC за болестта, цитиран от Ню Йорк Таймс.

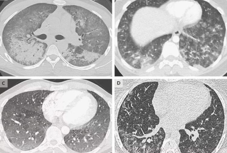
Докато разследването продължава, поредица от статии, публикувани в The New England Journal of Medicine (NEJM), днес погледнаха по-дълбоко в проблема. Една от статиите дава по-ясна представа за демографските показатели на болестта, като се съсредоточава върху 53 случая, докладвани от щатите Уисконсин и Илинойс. Цифрите очертават сурова картина.

Изследователите установили, че от от всички случаи, 83 процента са мъже, а средната възраст на пациентите е едва 19 години. Осемдесет и четири процента от пациентите съобщават, че употребяват тетрахидроканабинол (известен още като THC), един от най-често срещаните и активни канабиоиди, преди да се появят симптомите им. Почти всички страдат от дихателни и стомашно – чревни проблеми, а 94 процента са хоспитализирани. Един от тях е починал.

Статия в журнала NEJM от Дейвид Кристиани, професор по медицина в Харвардския университет и Чанската школа по обществено здраве, подкрепи призива на CDC към гражданите да спрат употребата на електронни цигари. Кристиани каза, че трябва да се положат усилия за повишаване на обществената осведоменост за вредния ефект на вейпинга и лекарите трябва да обезкуражават пациентите си от употребата на електронни цигари.

Източник: kaldata.com

Видеа по темата

Facebook коментари

Коментари в сайта

Последни новини