Изкуствен интелект на Huawei диагностицира коронавируса за две минути с точност 98%

Huawei също се включи в борбата с новия коронавирус, но не като производител на медицински маски, а чрез подобряване на диагностиката. Разработената от китайския технологичен гигант система за тестване на COVID-19 вече се използва в две големи болници във Филипини и Еквадор. Huawei е готов да предостави своята технология на всички заинтересовани страни.

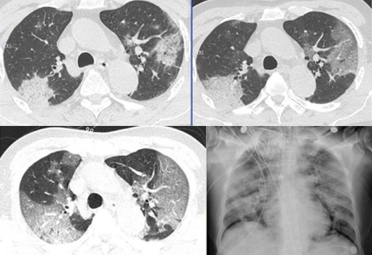
През месец февруари тази година, Huawei, който търпи засилени търговски санкции от страна на САЩ, представи собствена система за диагностика на новия коронавирус, която е много по-различна от обикновеното събиране и анализ на пробите. Huawei стартира своя онлайн услуга за анализ на медицинските снимки за наличието на пневмония, предизвикана от коронавируса. Използват се машинно зрение и вече обучен изкуствен интелект, който бързо анализира данните от компютърната томография.

COVID-19 атакува белите дробове на заразения, нещо което много добре се вижда в снимката от компютърната томография. Ако това изображение се качи в Huawei Cloud, изкуственият интелект го анализира и прави диагностика. Нещо повече, изкуственият интелект определя стадия и тежестта на инфекцията. Новия ИИ е обучен и продължава да се обучава чрез непрекъснато нарастваща база данни от примери на заразени с COVID-19 пациенти.

Резултатът става готов след две минути, а нивото на ефективност е 98%. Това не е окончателна диагноза и е желателно тя да бъде потвърдена от лекар. Но полученият резултат е много добра алтернатива на традиционните анализи, които се изготвят за около три дни. Освен това, процесът изисква минимални усилия от страна на медицинския персонал.

Източник: kaldata

Facebook коментари

Коментари в сайта

Последни новини